cute
IndiceLessico
sf. [sec. XIV; dal latino cutis]. Membrana continua, detta anche pelle, che riveste esternamente tutto il corpo dei Vertebrati e, in corrispondenza con le aperture naturali, si continua con la mucosa che tappezza le cavità interne dei vari apparati (digerente, respiratorio, urogenitale). Insieme agli annessi e connessi forma l'apparato tegumentale. Nel linguaggio comune è detta impr. epidermide, corrispondente in realtà alla sola parte esterna della cute dei Vertebrati.
Cute. Sezione al microscopio di cute; è visibile lo strato di sebo (rosso scuro) che ricopre l'epitelio connettivo.
De Agostini Picture Library / E. Giovenzana
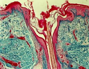
Cute. Sezione al microscopio di cute con pelo.
De Agostini Picture Library / E. Giovenzana
Anatomia comparata
La cute interviene, unitamente a un complesso di strutture a essa intimamente connesse, in molteplici funzioni quali la regolazione del ricambio idrico e talora gassoso (per esempio in molti anfibi); la regolazione termica; la protezione degli organi interni da agenti sia patogeni sia chimici, fisici e meccanici (tale protezione si esprime in diversi modi: peli, scaglie, squame cornee, placche di ossa dermiche); la difesa o l'offesa (artigli, corna); l'occultazione o l'appariscenza (colori mimetici o di risalto); la nutrizione per la prole (ghiandole mammarie); la percezione tattile, pressoria, termica, dolorifica e, talora, gustativa. Il rivestimento esterno degli Invertebrati è solitamente formato da un solo strato di cellule ciliate (come in molti animali acquatici) oppure secernenti una cuticola di spessore variabile da cui possono originare esoscheletri chitinosi, conchiglie, ecc. (per esempio Anellidi, Artropodi, Molluschi, ecc.). Nella cute dei Vertebrati, si distingue una parte superficiale epiteliale pluristratificata detta epidermide e una parte più profonda, connettivale, fibrosa e povera di cellule, detta derma. L'epidermide è sottile e può dare origine a diversi tipi di strutture specializzate come peli, penne e ghiandole; il derma è di solito molto spesso e ha una composizione semplice e uniforme. Per quanto riguarda l'origine embrionale di questi due strati, l'epidermide deriva dall'ectoderma embrionale mentre il derma dal mesenchima embrionale. Al di sotto del derma può esservi uno strato più o meno cospicuo di connettivo lasso (tela sottocutanea). Epidermide e derma possono essere a loro volta suddivisi in strati secondari. Lo spessore e la struttura dei vari strati differiscono nei diversi gruppi di Vertebrati e differenze ancora più notevoli si riscontrano quando si considera l'insieme dell'apparato cutaneo comprendente, oltre la cute, anche i suoi annessi e derivati. Per quanto riguarda la cute in senso stretto, nei Vertebrati acquatici (comprese le larve di Anfibi) la stratificazione dell'epidermide è poco evidente; le cellule degli strati più superficiali contengono una scarsa quantità di cheratina (una proteina idrofoba presente nelle corna, nelle unghie e in strutture superficiali simili). Queste cellule più superficiali vengono continuamente eliminate e rinnovate a seguito di usura o traumi. La cute in molti Pesci e Anfibi è permeabile e, nella maggior parte degli Anfibi moderni, l'alta permeabilità ha trasformato la pelle nel più importante organo respiratorio. Con l'assunzione definitiva della vita terrestre la struttura dell'epidermide è costretta a cambiare. Gli organismi terrestri devono fronteggiare la perdita di acqua attraverso la pelle, per cui la parte più superficiale dell'epidermide si differenzia da quella profonda: è chiaramente distinguibile uno strato più profondo “germinativo” di cellule vive, nucleate, in attiva moltiplicazione, gradualmente trapassante, attraverso uno strato intermedio, in uno superficiale di cellule morte, anucleate, ridotte a laminette di cheratina che, unite, formano lo strato corneo. Quest'ultimo, che si rinnova continuamente, tende a distaccarsi sotto forma di scagliette (forfora dei Mammiferi), di lembi (muta di lucertole e Anfibi) o di una membrana continua (exuvie dei Rettili). Il derma appare suddiviso in uno strato “limitante”, confinante cioè con l'epidermide, uno “spugnoso” a tessitura lassa (che accoglie spesso gruppi di cellule adipose), e uno “compatto”; la tela sottocutanea è poco sviluppata e non contiene depositi di grasso; fanno eccezione i Ciclostomi che hanno un sottocute ricco di tessuto adiposo. Nei Mammiferi a pelle spessa e nell'uomo si distinguono uno strato “papillare” e uno “compatto”: il primo è situato immediatamente al di sotto dell'epidermide e prende il nome da particolari rilevatezze (papille) che in esso si formano. Talora le papille assumono un maggiore sviluppo ed evidenziano un disegno caratteristico sulla superficie cutanea, come nei polpastrelli del palmo della mano o della pianta del piede. Negli Omeotermi la tela sottocutanea è più o meno spessa e ricca di cellule adipose (pannicolo adiposo). Talora, in molti Mammiferi, nel suo spessore può svilupparsi una muscolatura striata rappresentata dai cosiddetti “muscoli pellicciai”. La cute depigmentata è rosea perché vi traspare il colore del sangue, ma spesso assume anche colorazioni svariate dovute alla presenza di pigmenti contenuti nelle cellule epidermiche oppure in speciali elementi del derma (cromatofori). Nei Mammiferi, negli Uccelli e, tra i Rettili, nei Testudinati, e nei Cingulati, il colore è determinato quasi esclusivamente da pigmenti epidermici; negli Squamati, negli Anfibi e nei Pesci è prevalentemente dovuto ai cromatofori. Sotto l'azione di speciali stimoli il pigmento può anche concentrarsi o diffondersi in queste cellule determinando la comparsa di colorazioni mimetiche o vistose. La cute dei Vertebrati contiene un numero variabile di cellule dotate di attività secretoria e di ghiandole tubulari e alveolari. L'epidermide dei Ciclostomi e dei Pesci è ricca di singole cellule ghiandolari, molte delle quali mucipare, il cui secreto denso riveste la pelle e probabilmente regola gli scambi idrici. I Ciclostomi Mixinoidei sono forniti anche di due serie laterali di ghiandole cutanee pluricellulari (sacchi mucigeni) le quali secernono grandi quantità di muco. Le ghiandole pluricellulari mancano nella cute dei Condritti, sono molto rare in quella degli Osteitti (ghiandole velenifere di scorpene e trachini) e dei Rettili, mentre sono particolarmente numerose negli Anfibi e nei Mammiferi e limitate al pacchetto delle ghiandole uropigee negli Uccelli. Formazioni cutanee particolari sono i fotofori, organi luminosi presenti nella cute di molti Pesci marini, specialmente di specie abissali, aventi funzione illuminante o di richiamo per adescare la preda. Per gli Anfibi si ricordano le cosiddette parotidi dei rospi; per i Mammiferi le mammelle, le ghiandole sebacee e le sudoripare o, più esattamente, tubulose in quanto non sempre questo tipo di ghiandole produce sudore. Nei Mammiferi compaiono anche altri tipi di ghiandole. Tra le più diffuse vi sono le ghiandole sebacee, sudoripare e odorifere. Un altro tipo di ghiandola dei Mammiferi è la ghiandola mammaria, inattiva nei maschi, ma deputata, nella femmina, a secernere il latte necessario alla nutrizione del neonato. Altri importanti annessi cutanei che possono presentare caratteristiche assai diverse perfino in individui di una stessa specie sono le squame cornee, molto sviluppate e diffuse nell'epidermide dei Rettili, limitatamente alla cute delle zampe negli Uccelli e presenti anche in alcuni Mammiferi (tipicamente nei pangolini e armadilli); le scaglie dei Pesci; le placche di ossa dermiche (per esempio Cingolati, Testudinati); il becco (Testudinati, Uccelli); le penne (Uccelli); le unghie (alcuni Rettili, Uccelli, Mammiferi); le corna (molti Mammiferi Artiodattili e, tra i Perissodattili, il rinoceronte), i peli in molti Mammiferi.
Anatomia umana
Nell'uomo la cute è elastica e resistente, per lo più sollevabile in pieghe, mentre in certe regioni del corpo appare molto aderente, quasi fissata ai piani sottostanti (come nel palmo della mano o nella pianta del piede). Il suo spessore varia da 0,5 mm (per esempio nelle palpebre) a 5 mm (per esempio nella pianta del piede), di cui 0,03-1,5 mm spettano all'epidermide; in genere, è più sottile nella donna che nell'uomo, nel bambino che nel vecchio, nelle superfici flessorie che in quelle estensorie. Nell'aspetto esterno, la cute appare di colorito variabile in relazione alla pigmentazione, all'età, nonché alla sua trasparenza e alla ricchezza dell'irrorazione sanguigna. La superficie della pelle presenta una quantità di rilievi microscopici e depressioni (dovuti alla forma delle parti scheletriche e muscolari sottostanti), nonché di creste cutanee meno appariscenti, solchi interpiliferi, e ancora un'infinità di microscopici orifici, dove sboccano i follicoli piliferi o le ghiandole sebacee e sudoripare. Alcuni solchi e rilievi possono essere transitori, perché dovuti ai movimenti delle articolazioni o dei muscoli, altri possono col tempo divenire anche permanenti (rughe). Istologicamente, nell'epidermide, sono riconoscibili alcuni strati sovrapposti, il più esterno dei quali è quello corneo formato da cellule epiteliali appiattite, morte, prive di nucleo e corneificate, tra le quali sono fibrille cheratiniche, riunite in fasci o anche isolate; tali cellule vengono via via eliminate (desquamazione dell'epidermide) e sostituite per produzione di nuovi elementi cellulari da parte dello strato germinativo sottostante. Quest'ultimo, detto anche reticolo del Malpighi o strato spinoso, è costituito da cellule epiteliali prismatiche poligonali od ovalari, con grandi nuclei, fra le quali sono evidenti elementi intercellulari (o spine) e fasci di fibrille (tonofilamenti), che servono entrambi da saldatura tra una cellula e l'altra, per aumentarne la coesione. Tra questi strati principali possono esserne presenti altri due intermedi, soprattutto nelle regioni cutanee più soggette a pressioni e sfregamenti: quello detto granuloso, a contatto inferiormente con il reticolo malpighiano, composto da cellule tendenti ad appiattirsi, ancora dotate di nucleo, però in via di degenerazione, e con granuli molto rifrangenti di cheratoialina, con segni infine di trasformazione dei tonofilamenti in fibrille cheratiniche, e quello definito lucido, in rapporto, superiormente, con lo strato corneo, dall'aspetto omogeneo e splendente, con cellule appiattite, prive di nucleo e imbibite di eleidina, una sostanza semifluida derivata dalla cheratoialina. Il derma può assumere anche un notevole spessore, mentre nella tela sottocutanea, specie nelle regioni del corpo dove la cute è particolarmente sottoposta a tensioni, pressioni o sfregamenti, compaiono estese fessure, contenenti un liquido del tutto simile alla sinovia, dette borse mucose o sierose, con la specifica funzione di limitare gli eventuali danni derivanti dall'usura. Dallo strato papillare le creste si insinuano in quello epidermico soprastante: esse sono ricche di vasi attraverso i quali avviene la nutrizione dell'epidermide stessa, in quanto solo il derma è vascolarizzato. Ricchissima è invece l'innervazione della cute: il derma è interamente percorso da fibre del sistema vegetativo (destinate ai vasi, ai muscoli lisci cutanei, alle ghiandole, ai peli), le cui terminazioni possono arrivare all'epidermide, che assume così la funzione di un importante organo sensoriale. Grazie all'attività delle sue ghiandole sudoripare, la cute svolge anche, in cooperazione con l'apparato urinario, una funzione escretoria. La cute ha infine capacità immunitaria (vedi cutireazione) e proprietà assorbenti, sia pure particolarmente limitate nell'uomo; è possibile, infatti, far penetrare nell'organismo sostanze medicamentose attraverso la cute, per ionoforesi.
Antropologia
Il colore della cute è dovuto alla combinazione di tre fattori: presenza di melanina, un pigmento scuro in granuli o diffuso; l'emoglobina, pigmento rosso del sangue che appare per trasparenza; il lipocromo, a base di carotene. Il fattore principale è la melanina, prodotta da cellule (i melanociti) situato nello strato basale dell'epidermide che lo riversano nelle cellule malpighiane, fino a diffondersi nello strato corneo dell'epidermide. La melanina è il prodotto finale di reazioni, a partire dalla tirosina, che avvengono sotto l'azione di particolari enzimi. Nelle popolazioni umane contemporanee presenta profonde variazioni, con sfumature di tinta che vanno dal bianco latteo al bruno scurissimo (nero), e costituisce un carattere di grande importanza antropologica. Anzitutto, va rilevato che le grandi divisioni delle popolazioni umane in Xantodermi, Melanodermi e Leucodermi (gialli, neri e bianchi) hanno un significato estremamente vago perché all'interno di ogni gruppo si riscontrano infinite variazioni, con sfumature di colore che si sovrappongono. Sussiste invece un buon grado di correlazione fra la presenza di maggiore o minore pigmentazione cutanea e i tre principali gruppi umani: gli europoidi a bassa pigmentazione, i mongoloidi a pigmentazione intermedia, i negroidi a pigmentazione accentuata. Nelle popolazioni melanoderme i granuli di melanoide, che sono in maggior numero e più grandi, possono diffondersi anche nel derma. Poiché è noto che il colorito cutaneo è un carattere ereditario, si è molto discusso se esso sia controllato da due paia di alleli a fattori cumulativi (Davenport, 1913) o se non si tratti piuttosto di un meccanismo più complesso in cui entrerebbero in gioco almeno tre fattori, tutti e tre dominanti nel cosiddetto “nero vero” e recessivi nel bianco, dove inoltre gli effetti dei tre fattori sarebbero diversi e si osserverebbero effetti “cumulativi” per gene (Gates, 1953). Questo problema non è stato chiarito completamente. Non è neppure completamente chiaro se un solo pigmento, la melanina, sia responsabile di tutte le sfumature di colore cutaneo osservate, o se vi contribuiscano altri pigmenti, come il carotene, o l'ossimelanina, che è stata riscontrata in alcuni casi di eritrismo. Poiché la presenza di una maggiore o minore pigmentazione (e quindi di quantità di melanina), come lo spessore della cute e la superficialità della circolazione capillare, sono tutti fattori che contribuiscono ad aumentare o a diminuire la resistenza della pelle all'esposizione alla luce solare, si è voluto spiegare secondo questa teoria la presenza delle popolazioni più pigmentate nelle fasce equatoriali della Terra. La melanina potrebbe intervenire in un altro meccanismo di azione dei raggi ultravioletti. Infatti il loro assorbimento è indispensabile per la sintesi della vitamina D nella pelle, che a sua volta è necessaria per fissare il calcio nelle ossa e garantire quindi un normale sviluppo scheletrico. La presenza di melanina non crea problemi dove l'irradiazione solare è forte, mentre potrebbe impedire il loro assorbimento dove è minore l'intensità delle radiazioni solari, e cioè alle latitudini settentrionali. In queste regioni la scarsa pigmentazione della cute permetterebbe l'assorbimento dei raggi ultravioletti solari, per cui la selezione naturale avrebbe favorito gli individui con la pelle chiara. Tuttavia ancora non è chiaro il meccanismo di adattamento che avrebbe agito nel selezionare questi, insieme agli altri caratteri che differenziano fra loro i grandi gruppi umani viventi (Dobzhansky, 1965). Altri caratteri legati alla cute assumono un interesse antropologico in relazione alla loro distribuzione: per esempio, il rilievo dell'epidermide dei polpastrelli delle dita (dermatoglifi), la presenza in grado maggiore o minore di ghiandole sebacee (il cosiddetto “velluto” caratteristico della pelle dei negroidi), la presenza di una tipica macchia pigmentata nella regione lombare (macchia mongolica), il colore e la forma dei capelli, la distribuzione della pelosità corporea, ecc.